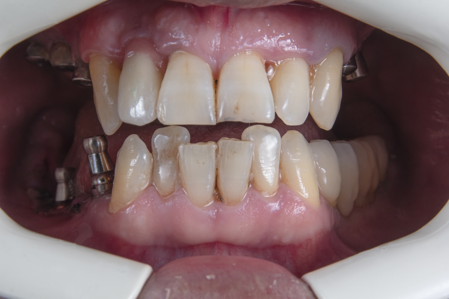
Nasza oferta chirurgii stomatologicznej
Zapoznaj się z kompleksowymi zabiegami chirurgicznymi, które przeprowadzamy z dbałością o komfort i bezpieczeństwo pacjentów.
Ekstrakcja zębów
Precyzyjne usuwanie zębów, w tym trudnych ósemek, bez bólu i stresu.
Implantologia stomatologiczna
Trwałe i estetyczne rozwiązania dla uzupełnienia braków zębowych.
Chirurgia periodontologiczna
Leczenie chorób przyzębia z wykorzystaniem nowoczesnych technik chirurgicznych.
Jak przebiega chirurgia stomatologiczna
Poznaj etapy naszych zabiegów chirurgicznych, które zapewniają bezpieczeństwo i komfort, od konsultacji po pełną rekonwalescencję.
Krok pierwszy: Konsultacja i diagnostyka
Na pierwszym etapie dokonujemy dokładnej oceny stanu jamy ustnej, wykorzystując nowoczesne narzędzia diagnostyczne, aby zaplanować indywidualne leczenie.
Krok drugi: Przeprowadzenie zabiegu
Podczas zabiegu stosujemy najnowsze metody znieczulenia i precyzyjną technikę, aby zapewnić maksymalny komfort i skuteczność terapii.
Krok trzeci: Opieka pooperacyjna i regeneracja
Zapewniamy szczegółowe wskazówki i wsparcie po zabiegu, aby przyspieszyć gojenie i utrzymać zdrowy, piękny uśmiech.
Opinie i Wrażenia Pacjentów
Our clients’ testimonials speak volumes about our services and commitment. Get an insight into their experiences.
Zabiegi przeprowadzone w klinice były bezbolesne, a personel niezwykle troskliwy i profesjonalny.

Pacjentka Anna
Specjalistka ds. marketingu
Profesjonalizm zespołu oraz indywidualne podejście sprawiły, że każdy etap leczenia przebiegał komfortowo.

Pacjent Marek
Inżynier budownictwa
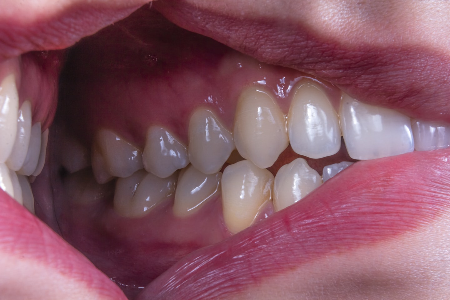
Doświadcz precyzyjnej chirurgii bez bólu i stresu.
Nasza chirurgia stomatologiczna łączy nowoczesne metody z troską o komfort pacjenta, gwarantując skuteczne i bezpieczne zabiegi.

Bezbolesne zabiegi dzięki nowoczesnym znieczuleniom.
Stosujemy innowacyjne techniki znieczulenia, które eliminują ból i zapewniają spokojny przebieg każdego zabiegu chirurgicznego.

Kompleksowa oferta zabiegów chirurgicznych.
Wykonujemy ekstrakcje, implanty, resekcje i inne procedury, aby kompleksowo zadbać o zdrowie i estetykę Twojego uśmiechu.

Profesjonalny zespół doświadczonych chirurgów.
Nasi specjaliści łączą wiedzę i empatię, by zapewnić indywidualne podejście i najwyższą jakość usług medycznych.
